Consultas organizadas e acompanhamento próximo do paciente.
Todas as opções e valores apresentados de forma clara antes de qualquer procedimento.
Protocolos atualizados e uso de tecnologia digital para mais conforto e previsibilidade.
Profissionais de Arujá, disponíveis para suporte e revisões sempre que necessário.
O Dr. Carlos Nogueira é cirurgião-dentista, especializado em implantodontia e lente de contato, com atuação em Arujá e região.
Seu trabalho combina diagnóstico técnico, atenção ao paciente e procedimentos realizados dentro dos mais altos padrões de biossegurança.
O objetivo da clínica é oferecer odontologia moderna, responsável e transparente, promovendo bem-estar e confiança durante todo o atendimento.
Ser referência em odontologia moderna e humanizada, aliando precisão técnica, tecnologia e ética em cada atendimento..
Oferecer cuidados odontológicos de forma segura, transparente e personalizada, sempre com foco em qualidade, confiança e bem-estar do paciente.
Ao longo dos anos, tivemos o privilégio de cuidar do sorriso de pessoas que se destacam em diferentes áreas. Cada paciente representa uma história única e reforça o compromisso da Clínica Dr. Carlos Nogueira com qualidade, confiança e resultados duradouros.
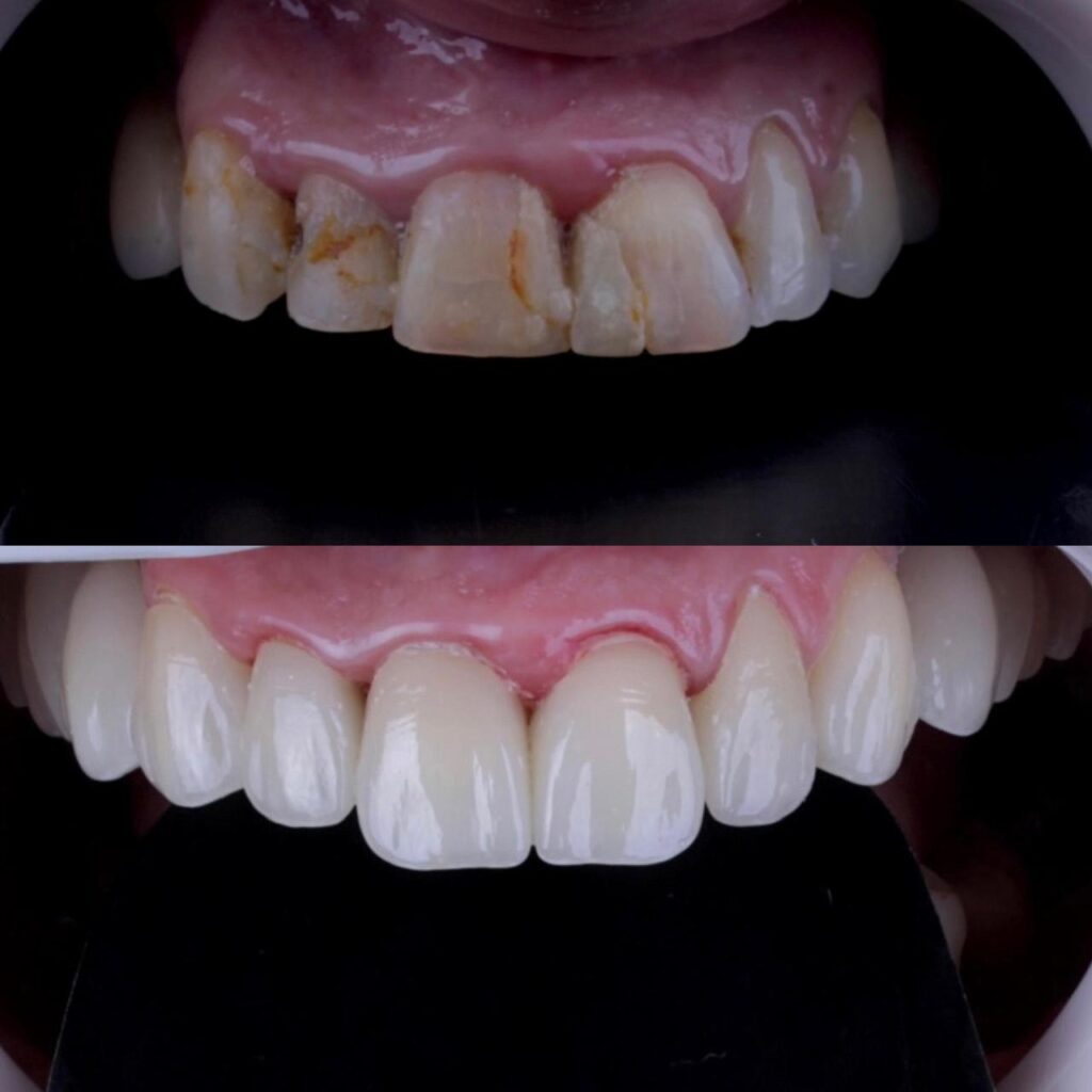
Planejamos tratamentos que unem estética, função e conforto — do simples ao mais avançado — sempre com tecnologia digital e atenção individual. Nosso foco é devolver harmonia, saúde e confiança a cada paciente
Anderson criado822024-05-06Trustindex verifica se a fonte original da avaliação é Google. Atendimento excelente me deram a maior atenção em pleno domingo onde estava desesperado de tanta dor e eles com maior paciência e preocupação comigo indico excelente profissional martarachid rachid2024-04-18Trustindex verifica se a fonte original da avaliação é Google. Excelente Clínica, fui atendida super bem,, indico com certeza. Vera Cavalheiro2024-04-16Trustindex verifica se a fonte original da avaliação é Google. Maravilhoso, perfeito.Doutor é ótimo,super indico. Leticia Santos2024-03-13Trustindex verifica se a fonte original da avaliação é Google. Excelente Serviço e Preço Justo. Sempre fui muito bem tratada nesta clínica, desde a recepção até os doutores. Solucionaram todas as dúvidas que eu possuía mesmo após o término do tratamento. Os tratamentos que realizei ficaram excelentes. Sempre retorno a clínica para á cada 6 meses para avaliação. Dione Silva2022-11-22Trustindex verifica se a fonte original da avaliação é Google. Agradecido pelo excelente atendimento adenilson morais2022-10-31Trustindex verifica se a fonte original da avaliação é Google. Muito agradecido pelo excelente trabalho prestado nessa clínica, recomendo a todos. Muito obrigado Dr. Carlos!!! Wenia Araujo Diniz2022-08-16Trustindex verifica se a fonte original da avaliação é Google. Muito atencioso, deixando tudo bem claro sobre o procedimento!! Wanderley Assis2022-07-28Trustindex verifica se a fonte original da avaliação é Google. Sou um cliente a mais de 15 anos muito exigente, moro em S. Paulo, já fiz vários trabalhos com equipe Dr. Cicero do Centro Odontológico Nogueira canais extrações, nunca tive problemas cirúrgicos ou protéticos , trabalho recente foi implante com protocolo um ótimo preço e condições facilitadas em parcelamentos , saio de S. Paulo vou ate Arujá vale apena , pois lá sou bem tratado saio contente satisfeito , abraço a todos da sua equipe Dr. Carlos Nogueira, Nivea Nogueira e protéticos e recepcionistas obrigado. GRÁFICA ARUJÁ artsan2022-06-29Trustindex verifica se a fonte original da avaliação é Google. Excelente profissional!
Cada etapa do atendimento odontológico é planejada com clareza, conforto e segurança, desde a avaliação inicial até o acompanhamento pós-tratamento.
Conversa e exame inicial com o dentista para entender o quadro clínico e as opções disponíveis.
Apresentação das alternativas, prazos e custos de forma clara e objetiva.
Realização do atendimento com protocolos técnicos e biossegurança atualizados.
Revisões periódicas e orientações de cuidado contínuo para manter seu sorriso saudável.
Preencha seu nome, escolha o tipo de consulta e informe seu e-mail. Vamos te redirecionar para o WhatsApp.
Entre em contato para agendar sua avaliação. Nossa equipe está disponível para atender e esclarecer todas as dúvidas.